
Gengivoplastia: Transforme Seu Sorriso com Saúde e Estética
O que é Gengivoplastia?
A gengivoplastia é um procedimento odontológico estético que visa remodelar e contornar o tecido gengival ao redor dos dentes. Este procedimento é especialmente útil para pacientes que apresentam excesso de gengiva (conhecido como sorriso gengival) ou gengivas irregulares que podem afetar a estética do sorriso e a saúde bucal.
Benefícios da Gengivoplastia
A gengivoplastia oferece uma série de benefícios que vão além da estética. Aqui estão alguns dos principais benefícios do procedimento:
- Melhora a Estética do Sorriso: Ao remover o excesso de gengiva ou corrigir irregularidades, a gengivoplastia ajuda a criar um sorriso mais equilibrado e harmonioso.
- Aumenta a Confiança: Com um sorriso mais estético, muitos pacientes relatam um aumento significativo na confiança e na autoestima.
- Facilita a Higiene Bucal: Remover o excesso de tecido gengival pode facilitar a escovação e o uso do fio dental, reduzindo o risco de doenças gengivais e cáries.
- Tratamento Personalizado: O procedimento é altamente personalizado para atender às necessidades específicas de cada paciente, garantindo resultados naturais e satisfatórios.
Quem Pode se Beneficiar da Gengivoplastia?
A gengivoplastia é ideal para pacientes que:
- Têm gengivas excessivamente expostas ao sorrir, conhecidas como “sorriso gengival.”
- Possuem gengivas assimétricas ou desiguais.
- Experimentam problemas gengivais devido ao excesso de tecido, dificultando a higiene bucal.
Como é Realizado o Procedimento de Gengivoplastia?
O procedimento de gengivoplastia é realizado por um dentista especialista, geralmente em um consultório odontológico. Aqui está uma visão geral de como o procedimento é realizado:
- Avaliação e Planejamento: Durante a consulta inicial, o dentista avaliará a condição das gengivas e discutirá as expectativas do paciente. Um plano de tratamento personalizado será criado.
- Anestesia Local: O procedimento começa com a aplicação de anestesia local para garantir o conforto do paciente.
- Remodelação Gengival: Utilizando instrumentos específicos, o dentista remodela o tecido gengival, removendo o excesso e criando contornos suaves ao redor dos dentes.
- Cuidados Pós-Operatórios: Após o procedimento, o dentista fornecerá instruções de cuidados pós-operatórios para garantir uma recuperação tranquila e sem complicações.
Recuperação e Cuidados Pós-Gengivoplastia
A recuperação após a gengivoplastia é relativamente rápida. Aqui estão algumas dicas para facilitar o processo:
- Higiene Bucal Cuidadosa: Continue escovando e usando fio dental cuidadosamente para evitar irritação nas gengivas tratadas.
- Alimentação Suave: Evite alimentos duros ou crocantes que possam causar desconforto ou lesões nas gengivas.
- Medicação: Use analgésicos conforme necessário para controlar o desconforto pós-operatório.
- Visitas de Acompanhamento: Agende consultas de acompanhamento para monitorar a cicatrização e os resultados.
A Gengivoplastia na Clínica da Dra. Keila Rodrigues
Na clínica da Dra. Keila Rodrigues, somos especialistas em transformar sorrisos através da gengivoplastia. Com anos de experiência e tecnologia de ponta, garantimos resultados excepcionais e um cuidado personalizado para cada paciente. Se você está buscando melhorar a estética do seu sorriso e a saúde gengival, agende uma consulta conosco e descubra como a gengivoplastia pode beneficiar você.
A gengivoplastia é uma solução eficaz para quem deseja melhorar a estética do sorriso e a saúde bucal. Ao remodelar as gengivas, o procedimento oferece não apenas um sorriso mais bonito, mas também uma melhor saúde oral. Entre em contato com a clínica da Dra. Keila Rodrigues para saber mais sobre como podemos ajudá-lo a alcançar o sorriso dos seus sonhos.
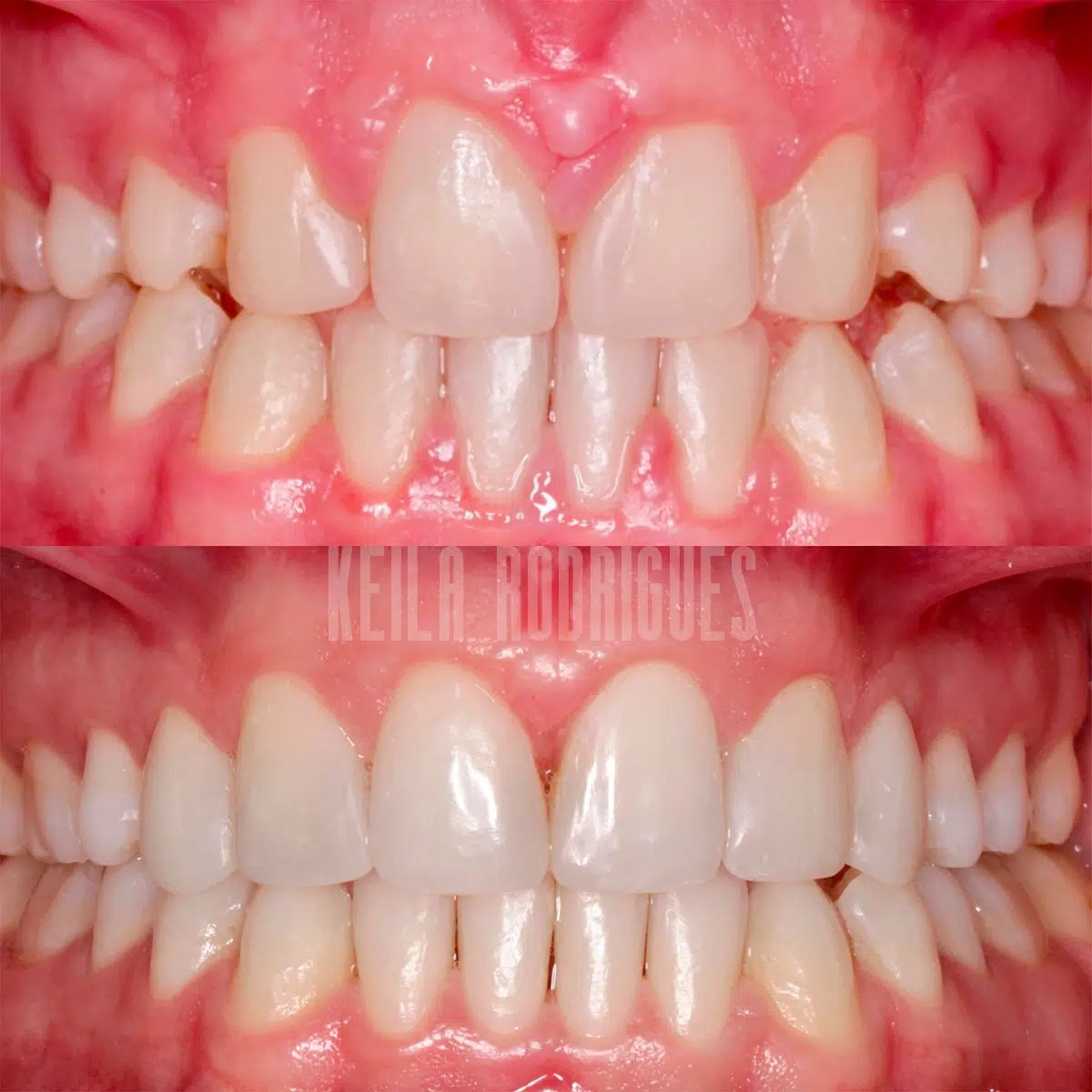
Resultados Reais: Casos de Sucesso em Gengivoplastia
Publicações relacionadas
Sangrar ao escovar os dentes ou passar fio dental é algo que muitas pessoas consideram normal. No entanto, o sangramento gengival é um sinal de alerta e quase sempre...
A evolução da odontologia permitiu que procedimentos de higienização oral se tornassem mais eficazes, previsíveis e confortáveis. Na clínica da Dra. Keila Rodrigues, em Maringá, a tecnologia Airflow é...
A busca por tratamentos mais eficazes e confortáveis faz parte da evolução da odontologia moderna. Na clínica da Dra. Keila Rodrigues, esse compromisso se reflete na adoção de tecnologias...








